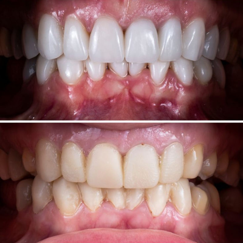
Le jaunissement des dents est principalement lié à :
-
l’accumulation de plaque et de tartre,
-
la consommation de café, thé, tabac,
-
le vieillissement naturel de l’émail.
Les méthodes naturelles (bicarbonate, charbon) peuvent avoir un effet superficiel mais restent abrasives si mal utilisées.
Les solutions modernes reposent sur :
-
un nettoyage en profondeur,
-
l’élimination des dépôts responsables de la coloration,
-
une hygiène quotidienne renforcée.
Les brosses soniques et le nettoyage régulier du tartre permettent d’améliorer visiblement la blancheur sans agresser l’émail.
👉 Conclusion : un blanchiment durable commence par une bouche propre et saine.




Laisser un commentaire
Ce site est protégé par hCaptcha, et la Politique de confidentialité et les Conditions de service de hCaptcha s’appliquent.