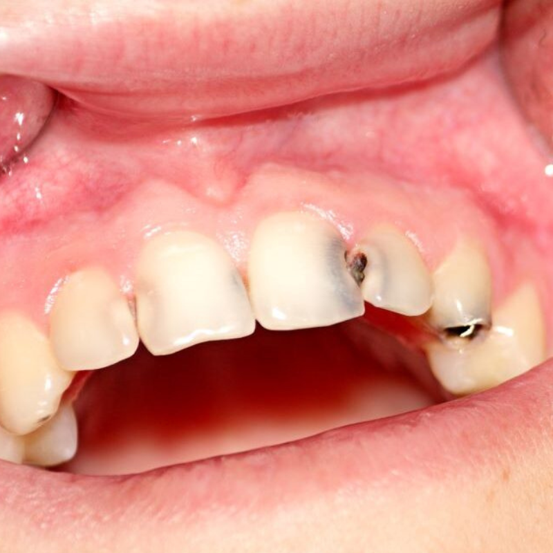
Chez l’adulte, les caries se développent principalement dans les zones difficiles d’accès : espaces interdentaires, collets dentaires et zones sous les restaurations existantes.
Les facteurs aggravants incluent :
-
une plaque dentaire persistante,
-
une hygiène interdentaire insuffisante,
-
une alimentation acide ou sucrée répétée.
Contrairement à la douleur aiguë, certaines caries évoluent sans symptômes visibles, ce qui retarde leur détection.
La prévention repose sur :
-
un nettoyage précis et régulier,
-
l’élimination complète de la plaque,
-
la réduction des zones de stagnation bactérienne.
👉 Conclusion : prévenir les caries adultes nécessite une hygiène plus ciblée, pas simplement plus fréquente.




Laisser un commentaire
Ce site est protégé par hCaptcha, et la Politique de confidentialité et les Conditions de service de hCaptcha s’appliquent.