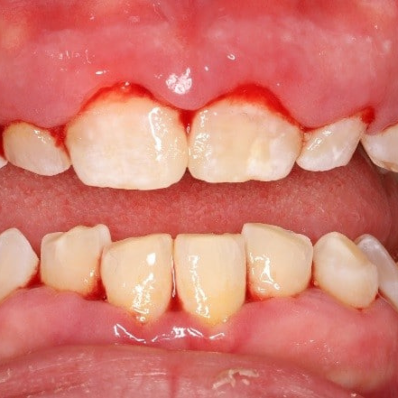
Bleeding gums are generally a sign of inflammation, called gingivitis. It is caused by the buildup of dental plaque along the gum line.
Without treatment, this inflammation can progress to periodontitis, which is more serious and irreversible.
Proper oral hygiene relies on:
-
effective but non-aggressive brushing,
-
the use of dental floss or a water flosser,
👉 Conclusion: bleeding gums are a warning sign, but they can be corrected quickly with the right actions.




Leave a comment
This site is protected by hCaptcha and the hCaptcha Privacy Policy and Terms of Service apply.